مشاوره رایگان
صفحه نخست
گالری درمانها
لمینت سرامیک
درمان ایمپلنت
روکش سرامیک
کامپوزیت ونیر
سایش دندانی
جراحی لثه
درباره ما
خدمات تخصصی کلینیک
ایمپلنت دندان
لمینت دندان
کامپوزیت دندان
طراحی لبخند
روکشها و بریجها
پروتزها
درمان ریشه
جراحیها
ترمیمها
درمانهای لثهای
دندان پزشکی دیجیتال
دندان پزشکی سالمندان
دندانپزشکی در دروان بارداری
مقالات
تماس با ما
22804157 021
خانه
/
گالری
/
گالری لمینیت سرامیک
/
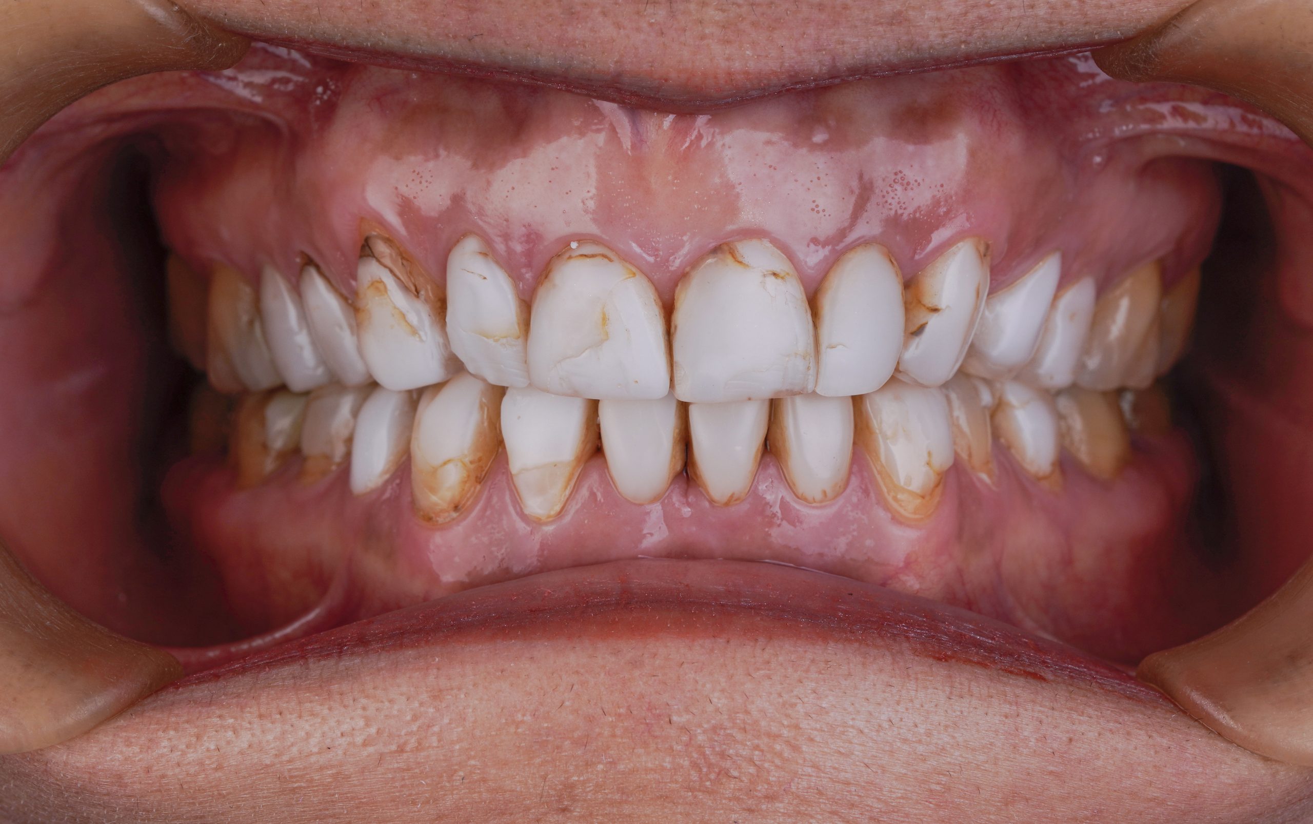
نادیا
After
Before
Dr.Sadrimanesh
مراجعین مرتبط
علی
نیلوفر
مرجان
فاطمه
ساناز
فاطمه
سامان
سلیمه
سارا
انیس
مراجعین سایر درمانها
معصومه
بهار
فاطمه
شهناز
هایده
ناهید
علیرضا
شقایق
شینا
الهام
فهرست
22804157 021
رزرو نوبت
22804157 021
رزرو نوبت